В БСМП Калининграда водителю электросамоката сделали трепанацию черепа

27.08.2025 16:19
2 мин   


Травмпункт БСМП в Калининграде.

В Больнице скорой медицинской помощи Калининграда рассказали о последствиях неосторожного использования электросамокатов.

Почти каждый день в учреждение обращаются пострадавшие: водители после падения с двухколёсного транспорта, пешеходы, пострадавшие от наездов – в среднем по 2 – 3 человека за сутки.

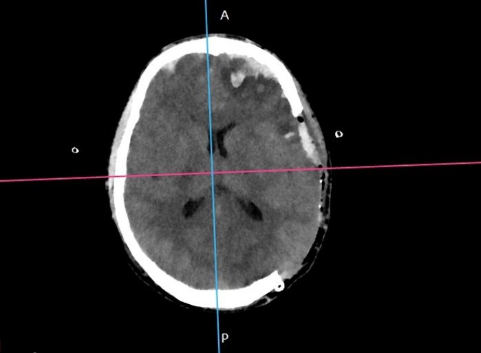
Один из водителей электросамокатов, мужчина 1995 года рождения (30 лет), до сих пор находится в тяжёлом состоянии. Он столкнулся с автомобилем и получил черепно-мозговую травму, потребовавшую трепанации черепа (вскрытия костей черепа) и удаления гематомы. Кровь скопилась в черепной коробке. Часть мозга вышло за пределы черепа.

череп.jpg

После лечения потребуется ещё длительная реабилитация, рассказал заведующий отделением нейрохирургии Антон Волков.

Электросамокат – быстрое транспортное средство, в котором, в отличие от автомобиля, водитель ничем не защищён при столкновении.